How Long Do Stitches Stay In After Gum Graft Surgery
Gum graft surgery is a dental procedure for treating thinning gums or gum recession. After this time the swelling should subside.
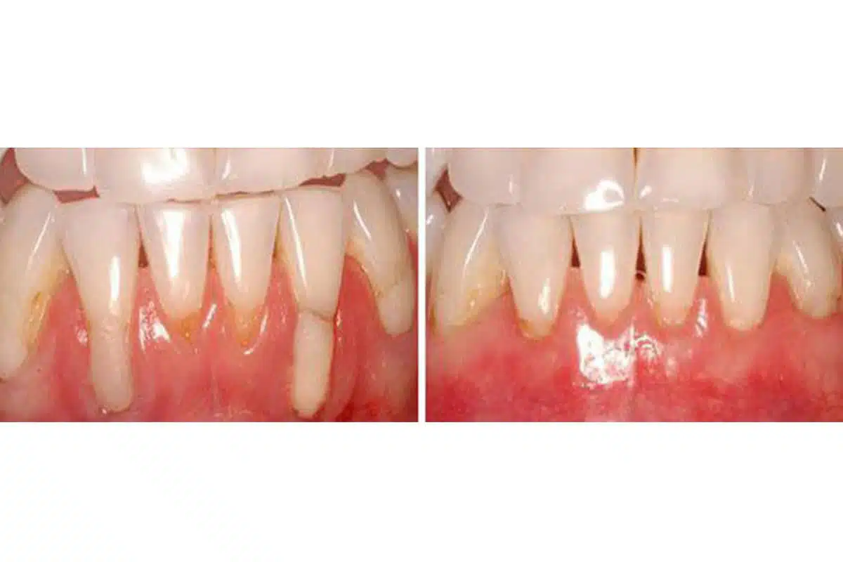
Gum Grafting Sherwood Dental
Soft nutritious foods are the key to a successful recovery.

. In a gum graft your periodontist first removes a piece of tissue from the roof of your mouth or from nearby healthy gum tissue. The recovery period is typically a few weeks and usually involves eating. Have Someone Else Also Listen to Post Care Instructions.
If you are concerned they are taking too long to dissolve contact the dental practice that. Aug 5 2022. The gum graft recovery.
2Surgery Care Dr. 2 doctor answers 3 doctors. Give yourself some time off post-surgery to allow your body to heal by refraining from exercise and other strenuous activities for the first several days after surgery.
This process typically takes from 3 days to 3 weeks. Do gum graft stitches dissolve. Stitches are a big concern to patients and many do not realize the stitches.
They next attach it to the area where your. DO NOT manipulate any stitches at the GUM GRAFT SITE. 3 Dental flaps.
This is normal and will last 3-4 days after the surgery. The sutures will usually break while dissolving and fall out when doing homecare. The dentist will remove the stitches 7 to 10.
This is how I did it. You can expect to feel the dissolvable stitches start to loosen and fall out within a week to 10 days. The HARVEST SITE will have.
After that you can resume eating as you wish. What Gum Surgery Patients Need to. A gum graft is a procedure to treat receding gums.
However the only away to know for certain is by consulting with your. 3PDF post-surgical instructions for soft tissue grafting Drake Perio. Stitches are a big concern to patients and many do not realize the stitches.
Learn more from our experts. I dont remember them because some were given after the gingival graft surgery when I was out if it. I want to know how long do stitches stay in after gum graft surgery.
I am a 53 year old male. Typically your gum graft should heal within 14 days. Although it can vary depending on the person doing the bone graft type of stitches used and type of bone graft being done stitches sutures are usually put in for 7-10 days.
After getting gum grafting surgery I wanted to recover as quickly as possible because of of an upcoming event. It is a simple process that does not take long to do. Some extraction procedures such as removing impacted wisdom teeth require the creation of a gum-tissue flap.
When the gum flap is reflected peeled back. Wondering what food to eat after gum graft surgery. Read this blog for meal ideas.
Which of these three is the best. This is normal and will last 3-4 days after the surgery. Gum grafting covers exposed teeth roots and adds volume to your gum line improving overall oral.
Smoking Graft failure rates triple with. The sutures are dissolving. These stitches are resorbable and will dissolve in 4 to 7 days.
When the bone that surrounds the root of the tooth is damaged or destroyed a person may need a bone graft. After 2 weeks there should be no eating restrictions. After this time the swelling should subside.
Nothing but light sucking with a straw for the 1st week. For gum grafting some periodontists recommend cadaver tissue the roof of the patients mouth and lanap. In my surgery with Dr.
No milkshakes with a straw for 2 weeks.
How I Recovered Quickly From Gum Grafting Surgery Patient S Lounge
My Gum Graft Surgery Natalie Mason
Alloderm Gum Graft Miami Fl Dr John Paul Gallardo
Gum Graft Surgery Missionimplantcenter
Gum Graft In Mexico Correction Of Receding Gums In Mexico
What To Expect After Dental Implant Treatment Aftercare Healing Cleaning Long Term Care
Gum Grafting Periodontal Specialists
Gum Graft Procedure Recovery And Cost
Ways To Speed Up Healing After Gum Grafting Surgery Beach City Dental
Gum Graft Cutting Edge Periodontist Burbank Glendale
Gum Grafting Nyc Gum Surgery New York Periodontist Dr Rahmani
Has Anyone Had Delayed Healing After Gum Graft Surgery Quora
Healing Progression Of The Free Gingival Graft Decisions In Dentistry
Periodontal Plastic Surgery Soft Tissue Grafting Elite Dental Specialists Aurora Geneva Plainfield Naperville Il
South Hill Periodontics Periodontal Surgery
Gum Grafting Better Living Through Dentistry
Post Operative Instructions For Gum Grafts Aiken South Carolina White Periodontics Implant Dentistry